Estética dental en Ciudad Real: mejora tu sonrisa sin complejos
¿Te gustaría sonreír sin preocuparte por manchas, dientes torcidos o desgastes? La estética dental no solo se centra en tener unos dientes “bonitos”, sino en armonizar tu sonrisa con tu rostro, tu forma de hablar y tu estilo de vida. En Chacón Odontología Integral, en Ciudad Real, somos especialistas en tratamientos de estética dental personalizados. Estudiamos tu caso de forma individual para ayudarte a mejorar tu sonrisa desde un enfoque saludable, realista y duradero.
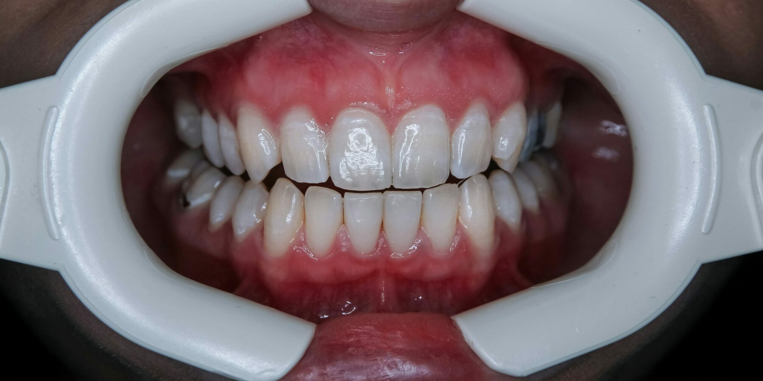
¿Qué tratamientos de estética dental ofrecemos?
Cada sonrisa es única, por eso combinamos diferentes técnicas en función de tus necesidades y objetivos estéticos:
✔ Blanqueamiento dental profesional
Ilumina tu sonrisa de forma segura y eficaz. Utilizamos sistemas avanzados que respetan la sensibilidad de tus dientes y ofrecen resultados visibles en poco tiempo.
✔ Carillas dentales
Perfectas para corregir la forma, color o posición de los dientes anteriores. Trabajamos con materiales como porcelana o composite de alta estética para lograr un resultado natural.
✔ Contorneado estético
Una solución rápida y mínimamente invasiva para igualar bordes dentales, suavizar ángulos o pequeñas asimetrías.
✔ Ortodoncia invisible
Además de corregir la mordida, mejora la estética alineando tu sonrisa sin necesidad de brackets metálicos visibles. Ideal para adultos que quieren discreción y eficacia.
✔ Restauraciones estéticas
Si tienes empastes antiguos o desgastados, podemos sustituirlos por restauraciones que se mimetizan con tu diente natural.
¿Por qué cuidar la estética dental?
Una sonrisa saludable y armónica tiene un gran impacto en tu autoestima, en tus relaciones personales y en tu vida profesional. Sentirte bien contigo mismo empieza por sonreír sin complejos.
En nuestra clínica dental en Ciudad Real:
-
Apostamos por la naturalidad.
-
Te acompañamos en todo el proceso.
-
Diseñamos tu sonrisa con tecnología digital.
Valoramos lo que te hace único
Cada tratamiento de estética dental en Chacón OI se adapta a ti: a tu forma de sonreír, de hablar, de expresarte. No hacemos «copias» ni sonrisas prefabricadas. Te ayudamos a verte bien, sin perder tu esencia.
📍Estamos en Ciudad Real capital, en la calle Alfonso Eanes, 6.
📲 Pide tu cita por WhatsApp 679 70 34 42 o desde www.chaconoi.com
¡Y no olvides seguirnos en nuestras redes sociales!







